If your wisdom tooth has started to cause pain, it is time to have a dental checkup. There could be numerous reasons why your wisdom tooth may be hurting you. The majority of those reasons may indicate that your wisdom teeth removal is required. Whatever be the reasons, wisdom tooth pain could be intolerable and need examination by your dentist Dubai.

In most cases, people have their wisdom teeth removed primarily because there is not enough room to grow in without being impacted or shifting other teeth. Whatever be the reasons, wisdom teeth rarely cause pain unless there is something wrong.
Causes of Wisdom Tooth Pain
1. Impacted Tooth
You would be surprised to know that in most cases, your wisdom teeth do not pop out of your gum line in the way other teeth do. At times your wisdom teeth may grow crooked, pressing against or away from other teeth. Such a condition is commonly termed as “impacted”.

Some reviews say that more than 70 percent of all new third molar teeth are impacted. On the other hand, other reviews say that the number is less than 40 percent. This problem may lead to pain, infection, and inflammation.
One study confirmed that about 12 percent of impacted wisdom teeth include more severe symptoms. Impacted wisdom teeth often crowd other teeth, thus misaligning those teeth. The reason is that most wisdom teeth develop from the spongy tissue surrounding your jaw that does not have strong support. As a result, it creates most of these problems.
2. Pericoronitis Due to Wisdom Tooth Pain
Gum pain and infection around your wisdom teeth are called pericoronitis. When your wisdom tooth erupts even partially, it may be vulnerable to pericoronitis.

Pericoronitis is primarily defined as gum pain and infection in 6 percent to 10 percent of erupted wisdom teeth. Usually, when your wisdom teeth erupt naturally, this does not create a problem. This disease is commonly observed in teeth that have slowly emerged from the gum line. You can notice the symptom in the lower wisdom tooth.
Pericoronitis can be either chronic or acute. Acute cases may cause severe pain that radiates into nearby areas in your mouth. It may lead to swelling, swollen lymph nodes, tightness in your jaw, difficulty in swallowing, jaw pain, and difficulty while sleeping.

Chronic cases could be more serious and provoke dull pain that may continue for months. Sometimes pregnancy and exhaustion may cause chronic pericoronitis pain to reoccur. Studies have shown that 35 percent to 45 percent of patients with pericoronitis often suffer from a respiratory infection.
3. Cysts and Tumors
Tumors and cysts generally arise from impacted wisdom teeth. In case you have an impacted wisdom tooth, remember that it is prone to developing cysts and tumors. Cysts are primarily fluid-filled sacs that can develop on your jaw. They may even cause bone loss in your jaw. On the other hand, most tumors are abnormal tissue growths that can rarely be cancerous.

Any kind of tumor and cyst can become large and painful. Finally, causing problems in your mouth and even your sinuses if it is untreated. If a tumor or cyst causes too much pain around the wisdom teeth, your dentist may probably recommend tooth extraction of the tooth. But that is rarely the case. Two of the studies confirmed that only about 2.5 percent of wisdom teeth are removed.
4. Growing Pain
When your wisdom teeth start to hurt, they could be growing in. You will start to have pain at the back of the mouth, especially behind the molars. When the teeth break through your gums, it can cause severe pain, soreness, and slight swelling. Your third molar will emerge after all the adult teeth.

Sometimes they emerge at an awkward angle, or there may not be enough room for them. In such a scenario, the pain will gradually increase with time as your wisdom teeth continue to grow misaligned or sideways. Slowly, they will press on the nerves, bone, and crowded surrounding teeth.
Diagnosis for Wisdom Tooth Pain
Only your licensed dentist can diagnose what might cause the pain associated with your wisdom teeth. If your tooth pain continues to worsen, it is a good idea to get it examined. Your dentist will not only examine your mouth but will find out the reasons that cause the pain. They can also detect the presence of a partially impacted wisdom tooth by examining your mouth.

Your dentists might also take a dental x-ray to confirm the reason for your wisdom tooth pain. This step will allow them to view the root’s position and whether there is enough space for your tooth to come out correctly. Your dentist will then decide on the best course of treatment for your wisdom tooth pain.
Is wisdom teeth removal a good option? Many people believe that wisdom teeth removal is perhaps the best way to fix any wisdom tooth pain and related problems. The solution may also help prevent any future issues. However, if your wisdom teeth have already started to cause pain, you will need to ease the pain naturally until your appointment date.
If you think the pain is severe, you should immediately schedule an appointment with your dentist. Experts suggest that wisdom teeth removal is perhaps the best way to cure and prevent any tooth-related oral health problems.
What are Complications Related to Wisdom Tooth Pain?
No rule says that you have to remove an emerging wisdom tooth. Some people choose removal even if their wisdom teeth do not cause problems. They do it to avoid complications in the future. But a few do not seek removal until they have pain. But the fact is that a wisdom tooth tends to cause problems the longer they remain in your mouth.

If you experience pain in the back of your mouth, it is a common sign of an emerging wisdom tooth. Your tooth pain can start off as mild and then increase in severity. The gums in the back of your mouth might hurt for a couple of days, and then the pain will subside.
This can happen on and off over weeks or even months. You may notice that your pain may gradually increase to a level where it would become difficult to talk and chew. The pain is caused due to your tooth pressing on the nerves in the mouth.
These are a few of the complications linked with wisdom teeth pain include:
1 Redness and swelling
Along with tooth pain, you may notice signs of an emerging wisdom tooth, including redness or swelling in the gums around your third molars. If there is an infection, swelling, difficulty swallowing, fever, or intense pain, priority should be given to get your wisdom teeth out at the earliest.
Your dentist might prescribe antibiotics that would help keep an infection from getting worse or spreading to other teeth. You may try warm salt water rinse, antibacterial mouth rinse, and OTC painkillers, as they can be used as short-term remedies for your pain. Until you obtain more defined treatment from your dentist.
2 Impacted tooth
Sometimes, your jaw bone and other surrounding teeth may prevent your wisdom teeth from coming in. In such a case, your teeth will remain trapped beneath your gum line. This might cause severe pain in the mouth and jaw region.
Other common signs of an impacted wisdom tooth often include severe pain around your molars. In simple terms, the longer those teeth remain impacted, the more likely they are to cause problems for your oral health. At times people may also develop a cyst in the back of your mouth.
3 Oral infections
As your wisdom teeth start to emerge, bacteria and germs can get trapped in your gums, leading to oral infection. Signs of infection could include pain, swelling, redness, tenderness in your jaw, bad breath, dry socket, and a foul taste in your mouth.
The longer your impacted teeth stay in your mouth, it may lead to foul breath, bad taste upon chewing, and other dental problems.
4 Shifting teeth
When there is not enough space for the wisdom tooth to come out, other teeth might shift out of place as the third molars emerge. They may also become crooked or misaligned.
Note that lack of space could lead to crowded wisdom teeth in your upper jaw, thus leaning sideways and rubbing against your cheek. This might cause chewing problems and ulcers to form on your cheek. If left untreated, you may have other complications.
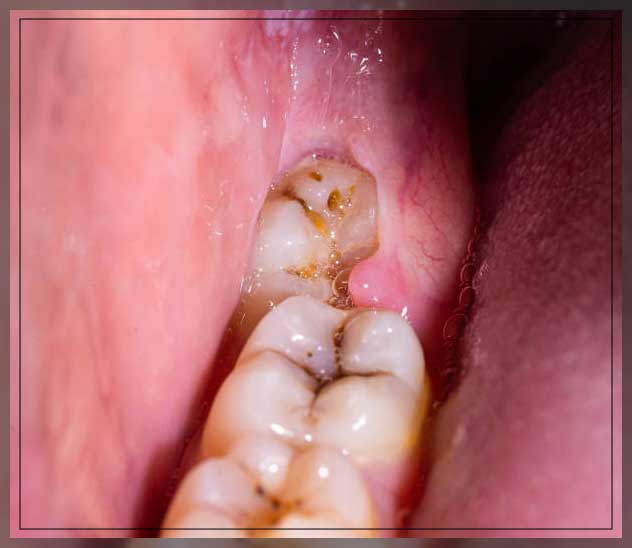
5 Tooth cavities
You may have noticed that food often gets trapped in the gums around your third molars. These trapped food particles may cause a tooth cavity around your emerging wisdom teeth. Even the teeth in front of your wisdom teeth can get cavities because there is not enough space to floss or brush.
Why Visit Dentist Clinic in Dubai
Your dentist will opt for wisdom teeth extractions to prevent and treat all kinds of potential complications. You can call the clinic today to schedule an evaluation of your wisdom teeth before they affect your health and well-being.
Our dental clinic in Dubai offers affordable dentistry service and is known for its gentle, caring, and compassionate dental care services. With several clinics throughout Dubai, our offices are conveniently located, working for extended hours to meet your dental needs. We provide a range of dental services, from basic preventative care, child dentistry, general dentistry to specialized procedures.
In summary, a smiling patient is our greatest reward, and we look forward to keeping those smiles healthy and beautiful. So book an appointment today.